+7 (999) 999-99-91

Отдел продаж

г. Щербинка, Театральная ул., 3

9:00-18:00

г. Щербинка, Театральная ул., 3

График работы

Измайлова
Зульфия Мустакимовна

Врач-стоматолог-хирург, имплантолог, пародонтолог.

Стаж с 1997 г.

  • Врач высшей квалификационной категории
  • Кандидат медицинских наук
  • Заслуженный врач РФ
  • Эксперт по хирургической стоматологии

Основное образование
1997 г. - Московский государственный медико-стоматологический университет имени А.И. Евдокимова (Стоматология)
1999 г. Ординатура - ФУВС (факультет усовершенствования врачей-стоматологов) на базе ЦНИИС и ЧЛХ (Хирургическая стоматология)
2022 г. Магистратура - Президентская академия (Менеджер здравоохранения)


Сабанчиева

Амина Робертовна

Врач-стоматолог, терапевт, эндодонтист, детский стоматолог

Стаж с 2022 г.

Основное образование

2022 г. - Кабардино-Балкарский государственный университет им. Х.М. Бербекова (Стоматология)
2024 г. Ординатура - Академия постдипломного образования ФГБУ ФНКЦ ФМБА (Стоматология детская)

Сабанчиева

Амина Робертовна

Врач-стоматолог, терапевт, эндодонтист, детский стоматолог

Стаж с 2022 г.

Основное образование
2022 г. - Кабардино-Балкарский государственный университет им. Х.М. Бербекова (Стоматология)

2024 г. Ординатура - Академия постдипломного образования ФГБУ ФНКЦ ФМБА (Стоматология детская)


Специализация

  • Профессиональная гигиена (детская / взрослая)
  • Лечение кариеса молочных и постоянных зубов
  • Эндодонтическое лечение молочных и постоянных зубов
  • Удаление молочных зубов
  • Коронки на молочные зубы

Специализация

  • Профессиональная гигиена (детская / взрослая)
  • Лечение кариеса молочных и постоянных зубов
  • Эндодонтическое лечение молочных и постоянных зубов
  • Удаление молочных зубов
  • Коронки на молочные зубы

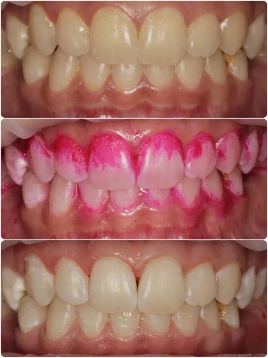
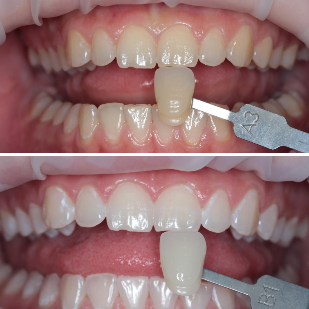
Работы Амины Робертовны

Cookie-файлы
Настройка cookie-файлов
Детальная информация о целях обработки данных и поставщиках, которые мы используем на наших сайтах
Аналитические Cookie-файлы Отключить все
Технические Cookie-файлы
Другие Cookie-файлы
Мы используем файлы Cookie для улучшения работы, персонализации и повышения удобства пользования нашим сайтом. Продолжая посещать сайт, вы соглашаетесь на использование нами файлов Cookie. Подробнее о нашей политике в отношении Cookie.
Понятно Подробнее
Cookies