Измайлова
Зульфия Мустакимовна
Врач-стоматолог-хирург, имплантолог, пародонтолог.
Стаж с 1997 г.
- Врач высшей квалификационной категории
- Кандидат медицинских наук
- Заслуженный врач РФ
- Эксперт по хирургической стоматологии
Основное образование
1997 г. - Московский государственный медико-стоматологический университет имени А.И. Евдокимова (Стоматология)
1999 г. Ординатура - ФУВС (факультет усовершенствования врачей-стоматологов) на базе ЦНИИС и ЧЛХ (Хирургическая стоматология)
2022 г. Магистратура - Президентская академия (Менеджер здравоохранения)
1999 г. Ординатура - ФУВС (факультет усовершенствования врачей-стоматологов) на базе ЦНИИС и ЧЛХ (Хирургическая стоматология)
2022 г. Магистратура - Президентская академия (Менеджер здравоохранения)
Ильинский
Виталий Анатольевич
Врач-анестезиолог-реаниматолог
Стаж с 2009 г.
- 2018 г. Награда и Благодарность министра внутренних дел РФ "За образцовое исполнение служебных обязанностей и достигнутые успехи в работе"
- 2021 г. Нагрудный знак "За мужество и доблесть в борьбе с COVID-19 "Москва 2020-2021"
- 2024 г. Благодарность от Департамента здравоохранения г.Москвы
- Автор научных статей и работ по анестезиологии и реанимации.
Основное образование
2009 г. Государственный медицинский университет
2011 г. Ординатура в НМИЦ трансплантологии и искусственных органов имени академика В.И. Шумакова
2014 г. Аспирантура в НМИЦ ТИО Минздрава России
2011 г. Ординатура в НМИЦ трансплантологии и искусственных органов имени академика В.И. Шумакова
2014 г. Аспирантура в НМИЦ ТИО Минздрава России
Апсова Фарида
Алидиновна
Врач стоматолог, хирург-имплантолог, пародонтолог
Стаж с 2022 г.
Основное образование
• 2018г - СГМУ им В. И. Разумовского г. Саратова
• Ординатура МОНИКИ 2021 г- г. Москва
Дополнительное образование
2011 «Клиническая электрокардиография»
2016 Анестезиология-реаниматология
2019 «Применение ксенона в клинической практике»
2020 Анестезиология-реаниматология
2020 «COVID-19: пневмонии и вирусные поражения легких (тактика врача стационара неифекционного профиля)»
2020 «Практическая трансфузиология»
2021 Присвоение высшей квалификационной категории по специальности «анестезиологии-реаниматология»
2021 «Экстракорпоральные методы детоксикации и кровосберегающие технологии в анестезиологии и реаниматологии»
2016 Анестезиология-реаниматология
2019 «Применение ксенона в клинической практике»
2020 Анестезиология-реаниматология
2020 «COVID-19: пневмонии и вирусные поражения легких (тактика врача стационара неифекционного профиля)»
2020 «Практическая трансфузиология»
2021 Присвоение высшей квалификационной категории по специальности «анестезиологии-реаниматология»
2021 «Экстракорпоральные методы детоксикации и кровосберегающие технологии в анестезиологии и реаниматологии»
Специализация
- В совершенстве владеет всем спектром профессиональных знаний и навыков необходимых для проведения анестезиологического пособия при различных хирургических вмешательствах;
- Владеет современными методиками анестезии, такими как: ингаляционная (аппаратно-масочная анестезия, ларингеально-масочная маска, орофарингеальная), сбалансированная, комбинированная, тотальная внутривенная, эндотрахеальная, эпидуральная, спинальная анестезии, различные проводниковые и региональные блокады;
- Работает с пациентами разного возраста и особенностями развития (взрослые и дети)
Дополнительное образование
•Практический курс «Базовая имплантация и не только.». Лектор: Георгий Дмитриевский.
• 2022 г. - г. Москва «Синус-лифт. Командный подход лора и имплантолога», Павел Ярошевич, Артур
Кондратьев
• 2022 .г г. - Москва Международный симпозиум Квинтэссенции по пародонтологии и
имплантологии «Эстетические и реконструктивные вмешательства в полости рта»
• 2022г. - г. Москва "Принципы работы с имплантационной системой Straumann."
• 2022г - г. Москва « Пародонтологический практикум». Приямпольская М. Б. S.T.l.dent
• 2024 г - г. Москва Планирование хирургического лечения в области передних и жевательных зубов.
Спикер: Пьерпаоло Кортеллини. Аурум
• 2024 г. - г. Санкт-Петербург «Хирургические и ортопедические протоколы тотального протезирования на
имплантатах» Trefoil, All-on-4, All-оп-6. Лектор: Карасев Никита
• 2025 г. - г. Москва Открытый синус -лифтинг. Лектор: А. С. Герасимов
• 2025 г. - г. Ереван ,Армения «STM для Имплантатов» Лектор: Рикардо Керн
• 2025 г. - г. Болонья, Италия «Пластическая хирургия мягких тканей» Лектор: Джованни Зуккелли
• 2022 г. - г. Москва «Синус-лифт. Командный подход лора и имплантолога», Павел Ярошевич, Артур
Кондратьев
• 2022 .г г. - Москва Международный симпозиум Квинтэссенции по пародонтологии и
имплантологии «Эстетические и реконструктивные вмешательства в полости рта»
• 2022г. - г. Москва "Принципы работы с имплантационной системой Straumann."
• 2022г - г. Москва « Пародонтологический практикум». Приямпольская М. Б. S.T.l.dent
• 2024 г - г. Москва Планирование хирургического лечения в области передних и жевательных зубов.
Спикер: Пьерпаоло Кортеллини. Аурум
• 2024 г. - г. Санкт-Петербург «Хирургические и ортопедические протоколы тотального протезирования на
имплантатах» Trefoil, All-on-4, All-оп-6. Лектор: Карасев Никита
• 2025 г. - г. Москва Открытый синус -лифтинг. Лектор: А. С. Герасимов
• 2025 г. - г. Ереван ,Армения «STM для Имплантатов» Лектор: Рикардо Керн
• 2025 г. - г. Болонья, Италия «Пластическая хирургия мягких тканей» Лектор: Джованни Зуккелли
Специализация
•Удаление зубов разной степени сложности;
•Консервативная и хирургическая пародонтология (открытый и закрытый кюретаж , Perio-flow);
•Зубосохраняющие манипуляции ( резекция верхушки корня, ретроградное пломбирование , аутотрансплантация зуба, реплантация зуба );
• Дентальная имплантация(одномоментная, отсроченная , все-на-4, на-6)
•Направленная костная регенерация ;
•Открытый и закрытый синус-лифтинг;
•Пластика мягких тканей в области имплантатов и зубов(закрытие рецессий туннельным и коронально-смещенным способом);
• Удаление новообразований челюсти и мягких тканей (на слизистой оболочке, на десне, ретенционных кист губы).
•Консервативная и хирургическая пародонтология (открытый и закрытый кюретаж , Perio-flow);
•Зубосохраняющие манипуляции ( резекция верхушки корня, ретроградное пломбирование , аутотрансплантация зуба, реплантация зуба );
• Дентальная имплантация(одномоментная, отсроченная , все-на-4, на-6)
•Направленная костная регенерация ;
•Открытый и закрытый синус-лифтинг;
•Пластика мягких тканей в области имплантатов и зубов(закрытие рецессий туннельным и коронально-смещенным способом);
• Удаление новообразований челюсти и мягких тканей (на слизистой оболочке, на десне, ретенционных кист губы).
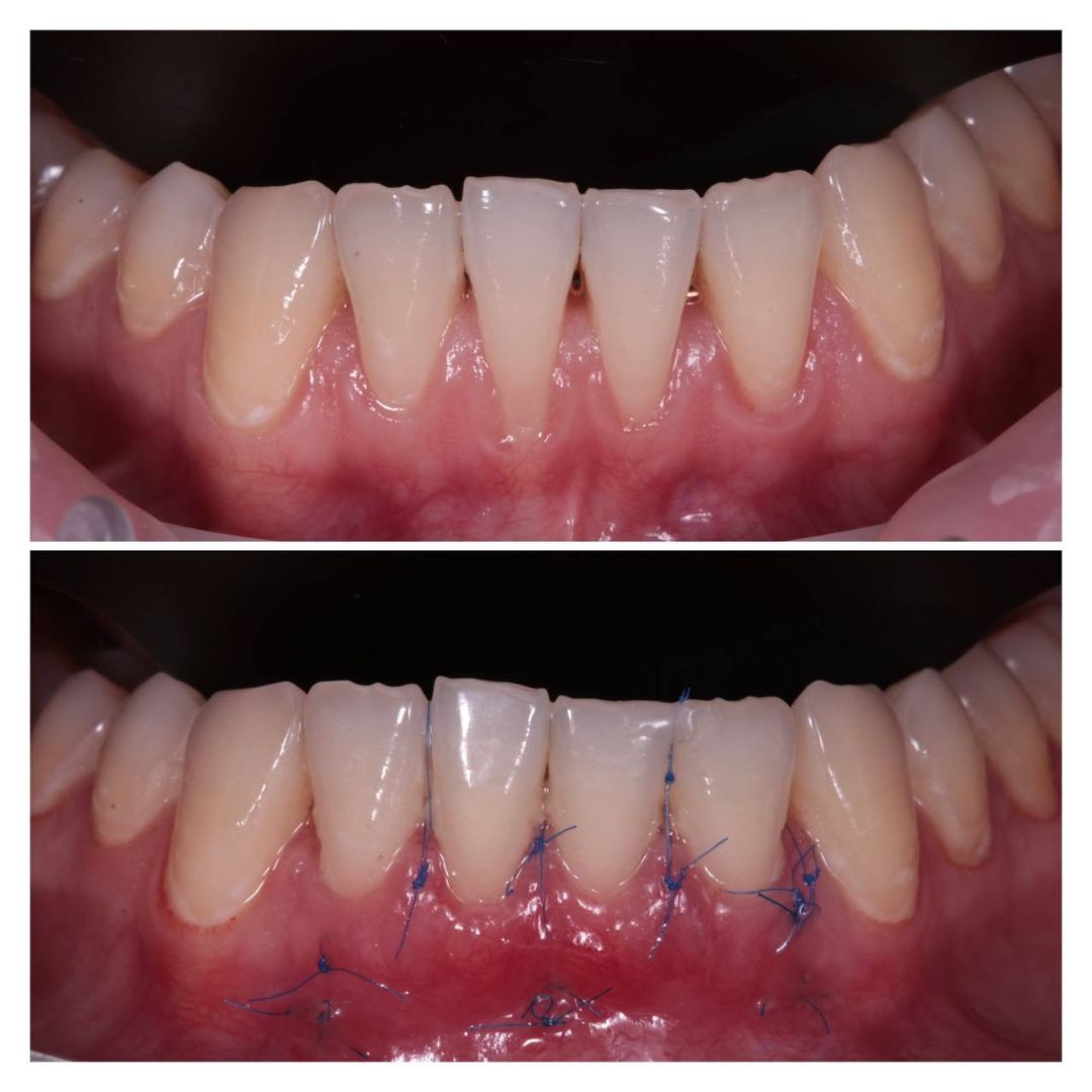
Пример работ