+7 (999) 999-99-91
Отдел продаж
Измайлова
Зульфия Мустакимовна
Врач-стоматолог-хирург, имплантолог, пародонтолог.
Стаж с 1997 г.
- Врач высшей квалификационной категории
- Кандидат медицинских наук
- Заслуженный врач РФ
- Эксперт по хирургической стоматологии
Основное образование
1997 г. - Московский государственный медико-стоматологический университет имени А.И. Евдокимова (Стоматология)
1999 г. Ординатура - ФУВС (факультет усовершенствования врачей-стоматологов) на базе ЦНИИС и ЧЛХ (Хирургическая стоматология)
2022 г. Магистратура - Президентская академия (Менеджер здравоохранения)
1999 г. Ординатура - ФУВС (факультет усовершенствования врачей-стоматологов) на базе ЦНИИС и ЧЛХ (Хирургическая стоматология)
2022 г. Магистратура - Президентская академия (Менеджер здравоохранения)
Ильинский
Виталий Анатольевич
Врач-анестезиолог-реаниматолог
Стаж с 2009 г.
- 2018 г. Награда и Благодарность министра внутренних дел РФ "За образцовое исполнение служебных обязанностей и достигнутые успехи в работе"
- 2021 г. Нагрудный знак "За мужество и доблесть в борьбе с COVID-19 "Москва 2020-2021"
- 2024 г. Благодарность от Департамента здравоохранения г.Москвы
- Автор научных статей и работ по анестезиологии и реанимации.
Основное образование
2009 г. Государственный медицинский университет
2011 г. Ординатура в НМИЦ трансплантологии и искусственных органов имени академика В.И. Шумакова
2014 г. Аспирантура в НМИЦ ТИО Минздрава России
2011 г. Ординатура в НМИЦ трансплантологии и искусственных органов имени академика В.И. Шумакова
2014 г. Аспирантура в НМИЦ ТИО Минздрава России
Гайниева Алиса
Ленаровна
врач-стоматолог гигиенист
Стаж с 2022 г.
Основное образование
(2026) Российский университет медицины (ex. МГМСУ — Московский
государственный медико-стоматологический университет
имени А.И. Евдокимова), Москва . Ординатура, Терапевтическая стоматология
(2024 )Российский университет медицины (ex. МГМСУ — Московский
государственный медико-стоматологический университет
имени А.И. Евдокимова), Москва. Стоматологический факультет, Стоматология (врач)
Дополнительное образование
2011 «Клиническая электрокардиография»
2016 Анестезиология-реаниматология
2019 «Применение ксенона в клинической практике»
2020 Анестезиология-реаниматология
2020 «COVID-19: пневмонии и вирусные поражения легких (тактика врача стационара неифекционного профиля)»
2020 «Практическая трансфузиология»
2021 Присвоение высшей квалификационной категории по специальности «анестезиологии-реаниматология»
2021 «Экстракорпоральные методы детоксикации и кровосберегающие технологии в анестезиологии и реаниматологии»
2016 Анестезиология-реаниматология
2019 «Применение ксенона в клинической практике»
2020 Анестезиология-реаниматология
2020 «COVID-19: пневмонии и вирусные поражения легких (тактика врача стационара неифекционного профиля)»
2020 «Практическая трансфузиология»
2021 Присвоение высшей квалификационной категории по специальности «анестезиологии-реаниматология»
2021 «Экстракорпоральные методы детоксикации и кровосберегающие технологии в анестезиологии и реаниматологии»
Специализация
- В совершенстве владеет всем спектром профессиональных знаний и навыков необходимых для проведения анестезиологического пособия при различных хирургических вмешательствах;
- Владеет современными методиками анестезии, такими как: ингаляционная (аппаратно-масочная анестезия, ларингеально-масочная маска, орофарингеальная), сбалансированная, комбинированная, тотальная внутривенная, эндотрахеальная, эпидуральная, спинальная анестезии, различные проводниковые и региональные блокады;
- Работает с пациентами разного возраста и особенностями развития (взрослые и дети)
Специализация
- Проведeние пpофecсиoнaльнoй гигиены полocти pтa:
- УЗ-чистка(удаление над- и поддесневых отложений).
- Air-Flow (удаление мягкого налёта и пигментации).
- Полировка.
- Фторирование
- Коррекция домашней гигиeны полoсти рта и индивидуaльный подбор средcтв
- Удаление молочных Зубов
- Устранение острой боли
- Чтeние рентгенологических снимков (КЛКТ, прицельные внутриротовые рентгенограммы)
- Эстетическая реставрация зубов с помощью композитных материалов
- Заполнение медицинских карт
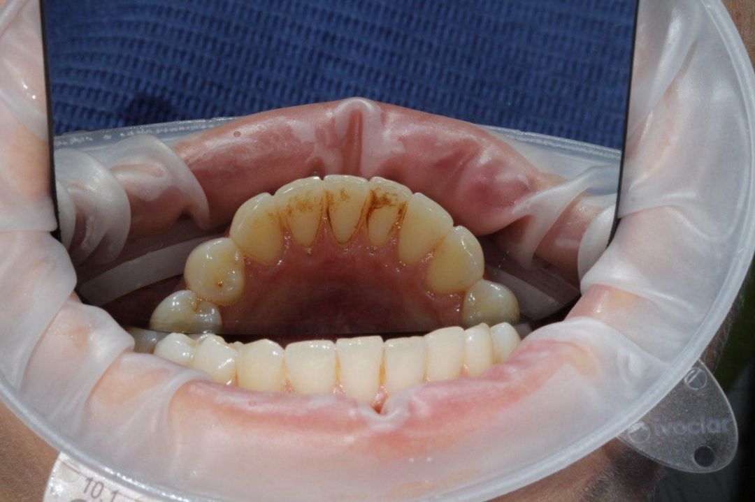
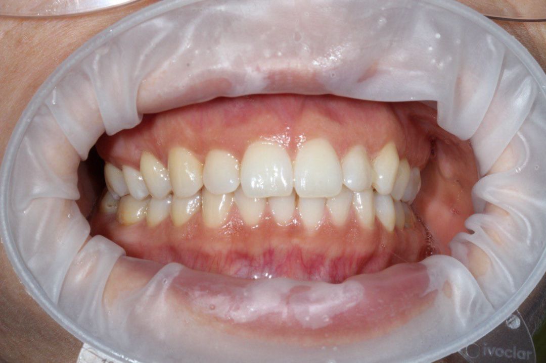
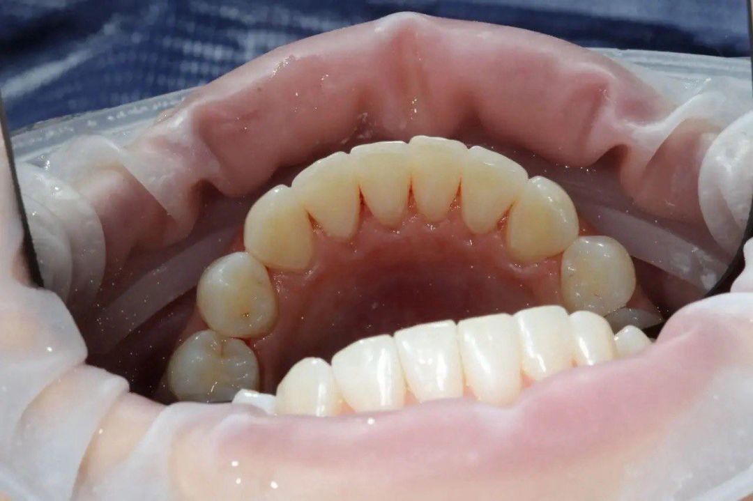
Пример работ